男子误吞鱼刺险切肝,医生内镜下取出肝中鱼刺创造“全球首例”
作者:赢球粉001 来源:张掖 浏览: 【大中小】 发布时间:2026-04-18评论数:
鱼刺怎么会钻到肝脏里?37岁的李先生(化名)至今仍难以相信,这根藏在体内半个月的鱼刺会让他险些切除左肝,陷入生命危险。
10月23日,澎湃新闻记者从复旦大学附属中山医院获悉,半月前,李先生在没有明显感觉的情况下,不小心吞食了一根鱼刺。几天后,他陆续出现腹痛、发热、畏寒等症状,体温一度高达40℃。在当地医院,医生诊断为“肝脓肿”,并给予抗炎、补液及穿刺引流治疗。可高烧反复、腹痛难解,始终没有找到确切的病因。
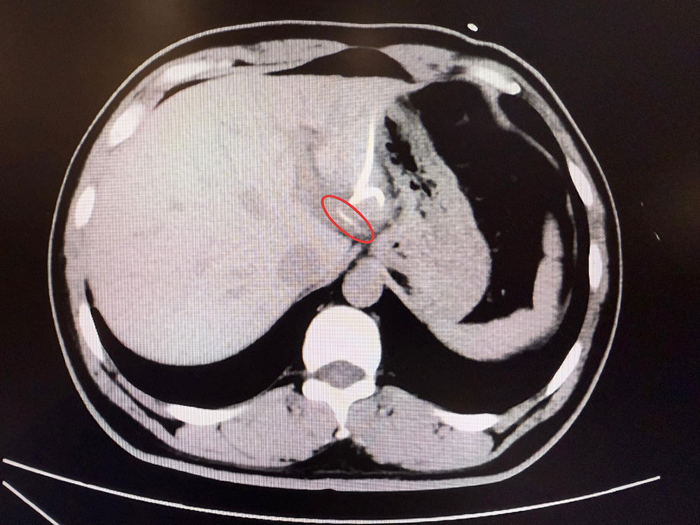
直到CT检查时,医生才惊讶地发现,李先生肝脏左叶靠近胃贲门处有一条细长的高密度影,形似鱼刺。原来,那根鱼刺在吞咽后穿透了胃壁,从贲门区域钻入肝脏,引发感染与脓肿。在简单进行肝脓肿介入穿刺引流后,当地外科医生评估后认为,要彻底清除异物,需要进行左半肝切除手术,但这对于李先生来说,创伤大、风险高,他难以接受。
患者李先生影像检查。本文图片均来自复旦大学附属中山医院
经当地内镜医生介绍,李先生辗转来到复旦大学附属中山医院内镜中心。“鱼刺位置非常凶险,就在贲门旁刺入左肝,紧贴大血管。”接诊后,中山医院内镜中心主任周平红教授说,患者病程长、腹腔感染粘连严重,术中可能找不到鱼刺,一旦操作不慎也会造成内镜下无法控制的大出血。
周平红提出了个大胆设想,能否通过胃镜,在食道管壁夹层建个隧道“开一扇门”,直接进入腹腔取出鱼刺?这个想法意味着要让内镜“跨越”胃壁的天然边界,是一次前所未有的尝试。团队讨论后认为可行,也得到了患者及家属支持。
术前,周平红带领内镜团队按照术前CT检查,反复推演每一步操作路径,力求安全与精准兼顾,在手术开始前由团队蔡明琰副主任医师进行超声内镜精准定位,为建立黏膜下隧道指明方向。
中山医院内镜中心主任周平红进行手术。
在全麻下,周平红运用内镜领域的“隧道技术”,先精准切开胃壁,再将内镜穿过小网膜囊,进入腹腔——这一步相当于为内镜开辟了一条直达病灶的微创通道。进入腹腔后,团队发现李先生的网膜与左肝脏紧密黏连。周平红立即与在场的肝外科、放射科、麻醉科医生共同讨论,结合术前影像学评估和术中实际情况,一致判断黏连包裹团块处即为异物所在。
经过耐心分离后,一抹银光在灯下闪现——那正是长约3.5厘米的鱼刺,锋利如针,已深深嵌入左肝组织中。
术后,患者与中山医院内镜中心团队合影。
周平红稳稳夹住鱼刺,将其完整取出,李先生全程无明显出血。手术历时3小时,患者术后恢复顺利,体温恢复正常,肝脓肿逐渐吸收。李先生免于进行高创伤、高风险的左半肝切除手术,保住了完整的肝脏功能。记者从院方了解到,该手术是全球首例“内镜下经食管黏膜下隧道进腹肝异物取出术”,如同在食管和胃壁上开了一扇隐形之门,为未来复杂胸腹腔病变的内镜介入治疗提供了全新思路。
- {loop type="catelog" row=10}{$vo.title}


